Afla cum se diagnosticheaza leucemia?

8,377 citiri
Afla cum se diagnosticheaza leucemia?

Leucemia este o boala foarte grava, care poate afecta pe oricine.

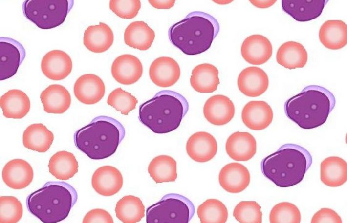
Este cauzata de un tip de celule cancerigene, care ataca globulele albe din sange. Acest lucru incepe cu producerea de cantitati anormal de mari de globule albe, in organism, care au rolul de a lupta impotriva organismelor straine, ce invadeaza corpul uman.

Daca globulele albe din sange nu se dezvolta normal, acest lucru duce la lipsa lor de energie in lupta impotriva bacteriilor, avand ca rezultat slabirea sistemului imunitar si implicit existenta unui numar prea mare de globule albe, care se ingramadesc in maduva osoasa, pana cand nu mai exista spatiu suficient pentru alte globule.

Exista doua tipuri de leucemie: acuta si cronica. Leucemia acuta poate fi depistata repede, insa cea cronica se manifesta in timp.

Nu exista un tratament pentru aceasta boala letala, insa cercetarile in acest sens continua. Leucemia produce milioane de victime anual, efectele sale fiind mai devastatoare, decat ale celorlalte tipuri de cancer. Mai mult, ea poate cauza si alte tipuri de cancer, cum ar fi cel ovarian, de stomac sau de prostata. Infectia porneste din maduva osoasa si are ca rezultat scaderea producerii de globule rosii, lucru ce afecteaza circulatia sanguina.

Diagnosticarea acestei boli poate dura mult timp, deoarece ea reprezinta un proces gradual. Leucemia are simptome distincte, care includ febra sau temperatura ridicata constanta, infectii, vanatai excesive, oboseala cronica, pierderi drastice in greutate, dureri de stomac, marirea ganglionilor limfatici, mai ales a celor din ficat sau splina si stari de slabiciune generala. Pacientii bolnavi de leucemie pot suferi de icter, stari de greata, pot fi palizi sau isi pot pierde apetitul, insa pot cauza si frisoane noaptea, insotite de tuse si alte simptome specifice racelii.

Leucemia nu duce imediat la inrautatirea starii de sanatate. Ea poate dura timp indelungat, pana sa devina fatala. La inceput, pacientii pot confunda simptomele cu unele ale unei boli obisnuite. Diagnosticarea leucemiei poate fi facuta acasa, prin intermediul unor kituri speciale de testare a anemiei, a functionarii glandei tiroide sau de depistare a cancerului de san.

O data rezultatele obtinute, prin astfel de kituri, puteti sa apelati la un medic, care sa va confirme rezultatul. Primul lucru pe care vi-l va cere medicul, va fi sa faceti analize de sange, pentru masurarea cantitatii de globule rosii si de globule albe din corp. Acesta poate face si o biopsie a maduvei osoase, prelevata din sold sau piept, care va fi ulterior analizata la microscop, pentru a verifica cantitatea de globule albe din sange.

Tratamentul bolnavilor de leucemie include chimioterapie si radiatii, pentru ca acestia sa intre in remisie.

In cazul chimioterapiei, celulele cancerigene sunt eliminate cu ajutorul medicamentatiei orale si a celei intravenoase. Mai exista si solutia inlocuirii maduvei osoase, cu una sanatoasa, prin transplant de la un donator, acest tratament fiind foarte costisitor, deoarece maduva celor doi trebuie sa fie compatibila si gasirea unui donator compatibil este foarte dificila.

Te-ar mai putea interesa